WHO WE ARE

Khema Digital Dental Laboratory

Khema Digital Dental Laboratory is full equipped with contemporary technology. We are trying our best to transform our lab into one of the outstanding digital laboratory in Cambodia. Currently, we are working collaboratively with dental clinics to solve the challenging cases, in which 90% in Phnom Penh and 10% at provinces. Majority of the cases is designed and created by digital team starting from wax-up to zirconium framework. Moreover, we are also specialized in designing crown and bridge on implant. With the use of top quality material and machinery, the final product is ensured last-long in quality and stunning in appearance, getting many good feedback from clients.

ORTHODONTICS

Our orthodontic appliances offer a reliable solution for achieving proper teeth alignment.

IMPLANTS

We provide implant solutions for all complexities. From single tooth replacements to full-arch restorations, we can restore it all.

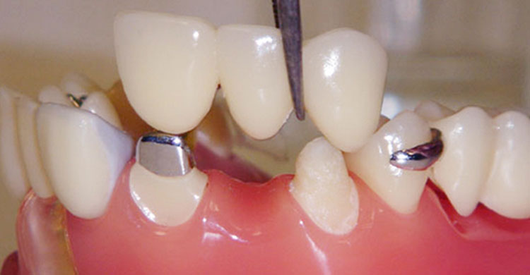
CROWN AND BRIDGE

Our crown and bridge services are top-notch and manufactured with the highest-quality materials.

REMOVABLES

We have an extensive line of dentures to suit the needs of your patients. We also offer same day repair services.

shape
shape

How we growth our business.

There you are building an enterprise web portal or a state-of-the-art website, you always need the right modern tools. Well-built and maintained PHP frameworks provide those tools in abundance, allowing maintained PHP frameworks provide those tools in abundance, allowing developers to save time, re-use code, and streamline the back end. As software development tools continuously.

OUR LATEST SERVICES

We Offer Better Soluation

Service-Image

Digital Outsourcing

With our scan and design service you can make optimal use of Khemalab CAD/CAM technologies in your laboratory and easily purchase customised...

Read More
Service-Image

Dental Technology Solution

Elevate Your Dental Practice with Outsourced IT and Advanced Cybersecurity SolutionsYour dental practice deserves IT support that's as preci...

Read More
Service-Image

Khemalink icloud

Simplify Clinic-Lab WorkflowsOptimize Your Practice with Digital Dental Record Storage.In the ever-evolving world of dentistry, maintaining ...

Read More
Service-Image

Digital Shopping

Welcome to the forefront of dental care innovation in Australia! As a leading dental professional, you understand the importance of staying ...

Read More
Service-Image

Digital Planning & Lab Services

Discover the Magic of Digital Smile Design (DSD) at DentTech Dental LabExperience the future of cosmetic dentistry with our Digital Smile De...

Read More
Service-Image

Dental Imaging Center

Embrace the cutting-edge technology of intraoral scanning at our clinic to elevate your dental services. An intraoral scanner is a revolutio...

Read More
WHO WE ARE

WHY CHOOSE US

Beneficial Strategies

Sed ut perspiciatis unde omnis iste natus error voluptatem accusantium doloremque laudan-tium totam.

Automated Software

Sed ut perspiciatis unde omnis iste natus error voluptatem accusantium doloremque laudan-tium totam.

Modify Whole System

Sed ut perspiciatis unde omnis iste natus error voluptatem accusantium doloremque laudan-tium totam.

Stability and Reasonable

a situation in which something such as an economy, company, or system can continue in a regular and successful way without unexpected changes

OUR TEAM MEMBER

Meet Our Exclusive Leadership

CONTACT US

Join Us To Get Free Consultations

Don't Hesitate To Contact With Us, Say Hello......

FAQ

Why Choose Our Solutions

Nemo enim ipsam voluptatem quia voluptas sit aspernatur aut odit aut fugit, sed quia consequuntur magni dolores eos qui ratione voluptatem sequi nesciunt. Neque porro quisquam

Nemo enim ipsam voluptatem quia voluptas sit aspernatur aut odit aut fugit, sed quia consequuntur magni dolores eos qui ratione voluptatem sequi nesciunt. Neque porro quisquam

Nemo enim ipsam voluptatem quia voluptas sit aspernatur aut odit aut fugit, sed quia consequuntur magni dolores eos qui ratione voluptatem sequi nesciunt. Neque porro quisquam

Nemo enim ipsam voluptatem quia voluptas sit aspernatur aut odit aut fugit, sed quia consequuntur magni dolores eos qui ratione voluptatem sequi nesciunt. Neque porro quisquam

569 +
Projct Complate

Sed ut perspiciatis unde omnis iste natus error sit voluptsantium doloremque laudantium

356 +
Happy Clients

Sed ut perspiciatis unde omnis iste natus error sit voluptsantium doloremque laudantium

783 +
Business Partners

Sed ut perspiciatis unde omnis iste natus error sit voluptsantium doloremque laudantium

894 +
IT Consultant

Sed ut perspiciatis unde omnis iste natus error sit voluptsantium doloremque laudantiu

Preparing For Your Business Success

LATEST NEWS

Read Our Latest News & Blog